0 item(s)
View cart
You have no items in your shopping cart.
Ubiquitin-binding adapter that links a subset of
NEDD8-associated cullin ring ligases (CRLs to the segregase VCP/p97, to regulate turnover of their ubiquitination substrates.
The antibody was affinity-purified from rabbit antiserum by affinity-chromatography using epitope-specific immunogen and the purity is > 95% (by SDS-PAGE).
WB,1:500 - 1:2000
O94888
| Product Name | Rabbit polyclonal antibody to UBXN7 |
| Antibody Type | Primary Antibodies |
| Immunogen | A synthesized peptide derived from Human UBXN7. |
| Clonality | Polyclonal |
| Isotype | IgG |
| Host Species | Rabbit |
| Tested Applications |
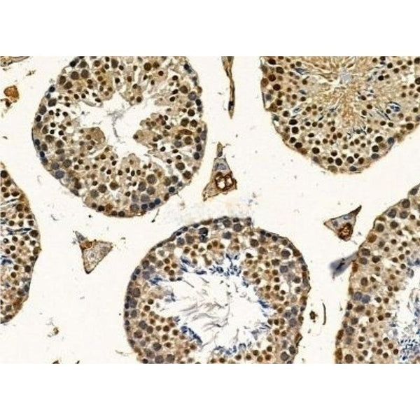
ICC/IF ,IHC |
| Species Reactivity | Human Mouse |
| Concentration | 1mg/ml |
| Purification | Affinity purified |
| Gene Symbol | UBXN7 |
| Gene Synonyms | UBXN7 |
| Gene Full Name | UBX domain protein 7 |
| Gene Summary | Enables RNA polymerase II-specific DNA-binding transcription factor binding activity; ubiquitin binding activity; and ubiquitin protein ligase binding activity. Predicted to be involved in proteasome-mediated ubiquitin-dependent protein catabolic process. Located in nucleoplasm. Part of VCP-NPL4-UFD1 AAA ATPase complex. [provided by Alliance of Genome Resources, Nov 2024] |
| Molecular Weight(MW) | 55kD(Calculated). |
| Cellular Localization | Nucleus. |

| Form | Liquid |
| Storage Instructions | Store at -20 °C. Stable for 12 months from date of receipt. |
| Storage Buffer | Rabbit IgG in phosphate buffered saline , pH 7.4, 150mM NaCl, 0.02% sodium azide and 50% glycerol. |
| Note | The product is for research use only,not for use in diagnostic or therapeutic procedures. |
When can I expect my order to ship?
Most orders are filled and shipped within 2-3 business days from the time they are received.
Our standard shipping usually take 2-5 days.
We also provide express shippping for time-sensitive deliveries.
Email contact@biofargo.com if you have any requirements.
| Features |
| Availability: |
| Price |
| Options |
| Actions |
