0 item(s)
View cart
You have no items in your shopping cart.
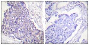
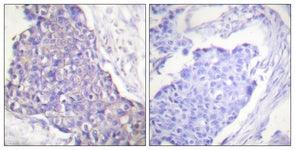
| Product Name | Rabbit anti-CD40 polyclonal antibody |
|---|---|
| Antibody Type | Primary Antibodies |
| Immunogen | The antiserum was produced against synthesized peptide derived from human CD40. |
| Clonality | Polyclonal |
|---|---|
| Host Species | Rabbit |
| Tested Applications | WB IHC ELISA |
|
WB:1:500~1:1000
IHC:1:50~1:100 ELISA:1:10000 |
|
| Species Reactivity | Human Mouse |
| Concentration | 1 mg/ml |
| Purification | Affinity purified |
| Gene Symbol | CD40 |
|---|---|
| Gene Synonyms |
B-cell surface antigen CD40
Bp50 CD40 antigen CD40L receptor CDw40 TNR5 tumor necrosis factor receptor superfamily member 5 |
| Entrez Gene | 958 |
|---|---|
| Unigene | 472860 |
| OMIM |
109535 606843 |
| SwissProt ID | P25942 |

| Application Notes | WB:1:500~1:1000 |
|---|---|
| IHC:1:50~1:100 | |
| ELISA:1:10000 |
| Form | Liquid |
|---|---|
| Storage Instructions | store at -20°C. Avoid repeated freeze / thaw cycles |
| Storage Buffer | Rabbit IgG in phosphate buffered saline (without Mg2+ and Ca2+), pH 7.4, 150mM NaCl, 0.02% sodium azide and 50% glycerol. |
Note: The product is for research use only,not for use in diagnostic or therapeutic procedures.
When can I expect my order to ship?
Most orders are filled and shipped within 2-3 business days from the time they are received.
Our standard shipping usually take 2-5 days.
We also provide express shippping for time-sensitive deliveries.
Email contact@biofargo.com if you have any requirements.
| Features |
| Availability: |
| Price |
| Options |
| Actions |
