0 item(s)
View cart
You have no items in your shopping cart.
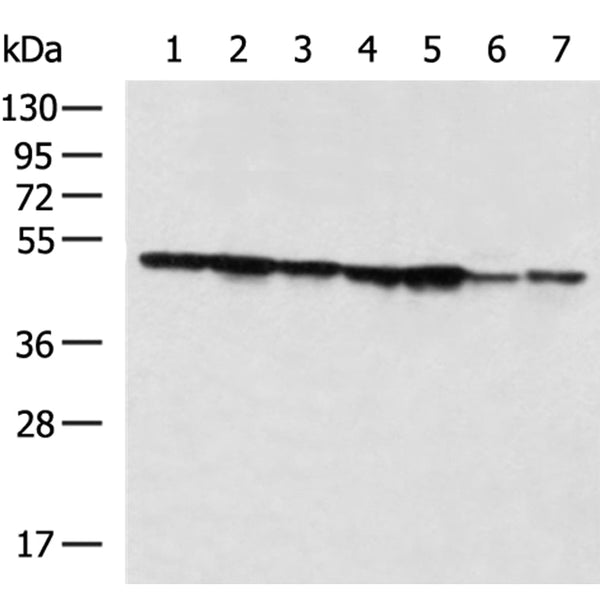
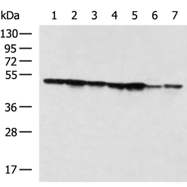
| Full name | EIF4A1 mouse monoclonal antibody |
| Alternative names | 50 μl/100 μl |
| Reactivity | mouse monoclonal |
| Applications | WB |
| Host | Mouse |
| Clone type | mouse monoclonal |
| Target Background | ATP-dependent RNA helicase which is a subunit of the eIF4F complex involved in cap recognition and is required for mRNA binding to ribosome. In the current model of translation initiation, eIF4A unwinds RNA secondary structures in the 5'-UTR of mRNAs which is necessary to allow efficient binding of the small ribosomal subunit, and subsequent scanning for the initiator codon. |
| Swissprot No | P60842 |
| Gene Accession | nan |
| WB Predicted band size | 46 kDa |
| WB Positive control | |
| WB Recommended dilution | 1000-5000 |
| IHC predicted cell location | nan |
| IHC positive control | nan |
| IHC Recommed dilution | nan |
Ascitic fluid with 0.05% sodium azide and 40% glycerol
P114221-WB-1-P
When can I expect my order to ship?
Most orders are filled and shipped within 2-3 business days from the time they are received.
Our standard shipping usually take 2-5 days.
We also provide express shippping for time-sensitive deliveries.
Email contact@biofargo.com if you have any requirements.
| Features |
| Availability: |
| Price |
| Options |
| Actions |
