0 item(s)
View cart
You have no items in your shopping cart.
| Full name | Cdkn1b rabbit monoclonal antibody |
| Alternative names | 50 μl/100 μl |
| Reactivity | rabbit monoclonal |
| Applications | WB, IHC |
| Host | Rabbit |
| Clone type | rabbit monoclonal |
| Target Background | Enables cyclin binding activity and cyclin-dependent protein serine/threonine kinase inhibitor activity. Involved in several processes, including G1/S transition of mitotic cell cycle; heart development; and negative regulation of cardiac muscle tissue regeneration. Acts upstream of or within several processes, including negative regulation of cyclin-dependent protein serine/threonine kinase activity; negative regulation of epithelial cell proliferation involved in prostate gland development; and positive regulation of microtubule polymerization. Located in cytosol and nucleus. Is expressed in several structures, including central nervous system; genitourinary system; heart and pericardium; hemolymphoid system; and sensory organ. Human ortholog(s) of this gene implicated in acute myeloid leukemia; breast cancer; multiple endocrine neoplasia type 4; and myelodysplastic syndrome. Orthologous to human CDKN1B (cyclin dependent kinase inhibitor 1B). [provided by Alliance of Genome Resources, Apr 2022] |
| Swissprot No | P46414 |
| Gene Accession | 12576 |
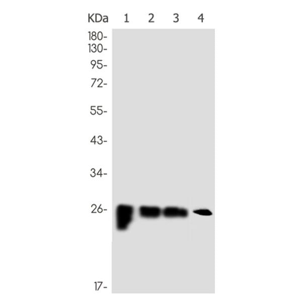
| WB Predicted band size | 22 kDa |
| WB Positive control | |
| WB Recommended dilution | 500-2000 |
| IHC predicted cell location | Predicted cell location: Nucleus |
| IHC positive control | Positive control: mouse lung |
| IHC Recommed dilution | Recommended dilution: 50-100 |
-20°C, 50mM Tris-Glycine (pH 7.4), 0.15M NaCl, 40% Glycerol, 0.01% Sodium azide and 0.05% BSA. Avoid repeated freeze-thaw cycles.
P291706-WB-1-P
Immunohistochemical analysis of paraffin-embedded mouse lung tissue using P291706(Cdkn1b Antibody) at dilution 1/50
When can I expect my order to ship?
Most orders are filled and shipped within 2-3 business days from the time they are received.
Our standard shipping usually take 2-5 days.
We also provide express shippping for time-sensitive deliveries.
Email contact@biofargo.com if you have any requirements.
| Features |
| Availability: |
| Price |
| Options |
| Actions |
