You have no items in your shopping cart.
Background
This gene is a member of the PDGF/VEGF growth factor family. It encodes a heparin-binding protein, which exists as a disulfide-linked homodimer. This growth factor induces proliferation and migration of vascular endothelial cells, and is essential for both physiological and pathological angiogenesis. Disruption of this gene in mice resulted in abnormal embryonic blood vessel formation. This gene is upregulated in many known tumors and its expression is correlated with tumor stage and progression. Elevated levels of this protein are found in patients with POEMS syndrome, also known as Crow-Fukase syndrome. Allelic variants of this gene have been associated with microvascular complications of diabetes 1 (MVCD1) and atherosclerosis. Alternatively spliced transcript variants encoding different isoforms have been described.
Specification
| Full name | VEGFA rabbit polyclonal antibody |
| Alternative names | VPF; VEGF; MVCD1 |
| Reactivity | Human |
| Applications | WB, IHC |
| Host | Rabbit |
| Clone type | rabbit polyclonal |
| Conjugate | Unconjugate |
| Swissprot No | P15692 |
| Gene Accession | NP_001020537 |
| WB Predicted band size | 27 kDa |
| WB Positive control | Hela cell lysate |
| WB Recommended dilution | 500-2000 |
| IHC predicted cell location_1 | Predicted cell location: Cytoplasm |
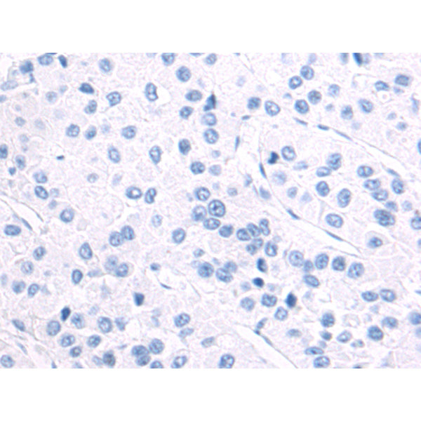
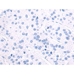
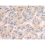
| IHC positive control_1 | Positive control: Human liver cancer |
| IHC Recommed dilution | Recommended dilution: 50-200 |
Application
- Western blot analysis of extracts from Hela cell lysate using P113113(VEGFA Antibody) at dilution 1/600

- Immunohistochemical analysis of paraffin-embedded Human liver cancer tissue or VEGFA antigen-treated (Neutralization experiment) using P113113(VEGFA Antibody) at dilution 1/50

Storage
-20°C, pH7.4 PBS, 0.05% NaN3, 40% Glycerol
When can I expect my order to ship?
Most orders are filled and shipped within 2-3 business days from the time they are received.
Our standard shipping usually take 2-5 days.
We also provide express shippping for time-sensitive deliveries.
Email contact@biofargo.com if you have any requirements.

