0 item(s)
View cart
You have no items in your shopping cart.
| Full name | TMED10 rabbit polyclonal antibody |
| Alternative names | 50 μl/100 μl |
| Reactivity | rabbit polyclonal |
| Applications | WB, IHC |
| Host | Rabbit |
| Clone type | rabbit polyclonal |
| Target Background | This gene is a member of the EMP24/GP25L/p24 family and encodes a protein with a GOLD domain. This type I membrane protein is localized to the plasma membrane and golgi cisternae and is involved in vesicular protein trafficking. The protein is also a member of a heteromeric secretase complex and regulates the complex's gamma-secretase activity without affecting its epsilon-secretase activity. Mutations in this gene have been associated with early-onset familial Alzheimer's disease. This gene has a pseudogene on chromosome 8. |
| Swissprot No | P49755 |
| Gene Accession | BC001496 |
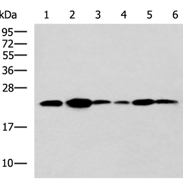
| WB Predicted band size | 25 kDa |
| WB Positive control | |
| WB Recommended dilution | 1000-5000 |
| IHC predicted cell location | Predicted cell location: Cytoplasm |
| IHC positive control | Positive control: Human lung cancer |
| IHC Recommed dilution | Recommended dilution: 50-200 |
-20°C, pH7.4 PBS, 0.05% NaN3, 40% Glycerol
P113029-WB-1-P
Immunohistochemical analysis of paraffin-embedded Human lung cancer tissue or TMED10 antigen-treated (Neutralization experiment) using P113029(TMED10 Antibody) at dilution 1/65
When can I expect my order to ship?
Most orders are filled and shipped within 2-3 business days from the time they are received.
Our standard shipping usually take 2-5 days.
We also provide express shippping for time-sensitive deliveries.
Email contact@biofargo.com if you have any requirements.
| Features |
| Availability: |
| Price |
| Options |
| Actions |
