0 item(s)
View cart
You have no items in your shopping cart.
| Full name | HADH rabbit polyclonal antibody |
| Alternative names | 50 μl/100 μl |
| Reactivity | rabbit polyclonal |
| Applications | WB, IHC |
| Host | Rabbit |
| Clone type | rabbit polyclonal |
| Target Background | This gene is a member of the 3-hydroxyacyl-CoA dehydrogenase gene family. The encoded protein functions in the mitochondrial matrix to catalyze the oxidation of straight-chain 3-hydroxyacyl-CoAs as part of the beta-oxidation pathway. Its enzymatic activity is highest with medium-chain-length fatty acids. Mutations in this gene cause one form of familial hyperinsulinemic hypoglycemia. The human genome contains a related pseudogene of this gene on chromosome 15. |
| Swissprot No | Q16836 |
| Gene Accession | NP_005318 |
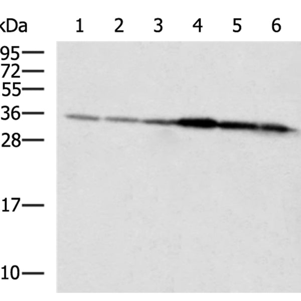
| WB Predicted band size | 34 kDa |
| WB Positive control | |
| WB Recommended dilution | 500-2000 |
| IHC predicted cell location | Predicted cell location: Cytoplasm |
| IHC positive control | Positive control: Human cervical cancer |
| IHC Recommed dilution | Recommended dilution: 50-100 |
-20°C, pH7.4 PBS, 0.05% NaN3, 40% Glycerol
P111817-WB-1-P
Immunohistochemical analysis of paraffin-embedded Human cervical cancer tissue or HADH antigen-treated (Neutralization experiment) using P111817(HADH Antibody) at dilution 1/30
When can I expect my order to ship?
Most orders are filled and shipped within 2-3 business days from the time they are received.
Our standard shipping usually take 2-5 days.
We also provide express shippping for time-sensitive deliveries.
Email contact@biofargo.com if you have any requirements.
| Features |
| Availability: |
| Price |
| Options |
| Actions |
