0 item(s)
View cart
You have no items in your shopping cart.
| Full name | ERP29 rabbit polyclonal antibody |
| Alternative names | 50 μl/100 μl |
| Reactivity | rabbit polyclonal |
| Applications | WB, IHC |
| Host | Rabbit |
| Clone type | rabbit polyclonal |
| Target Background | This gene encodes a reticuloplasmin, a protein which resides in the lumen of the endoplasmic reticulum (ER). The protein shows sequence similarity to the protein disulfide isomerase family. However, it lacks the thioredoxin motif characteristic of this family, suggesting that this protein does not function as a disulfide isomerase. The protein dimerizes and is thought to play a role in the processing of secretory proteins within the ER. Alternative splicing results in multiple transcript variants encoding different isoforms |
| Swissprot No | P30040 |
| Gene Accession | NP_006808 |
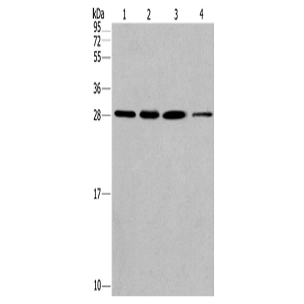
| WB Predicted band size | 29 kDa |
| WB Positive control | |
| WB Recommended dilution | 500-2000 |
| IHC predicted cell location | Predicted cell location: Cytoplasm |
| IHC positive control | Positive control: Human colon cancer |
| IHC Recommed dilution | Recommended dilution: 50-200 |
-20°C, pH7.4 PBS, 0.05% NaN3, 40% Glycerol
P102734-WB-1-P
Immunohistochemical analysis of paraffin-embedded Human colon cancer tissue or ERP29 antigen-treated (Neutralization experiment) using P102734(ERP29 Antibody) at dilution 1/40
When can I expect my order to ship?
Most orders are filled and shipped within 2-3 business days from the time they are received.
Our standard shipping usually take 2-5 days.
We also provide express shippping for time-sensitive deliveries.
Email contact@biofargo.com if you have any requirements.
| Features |
| Availability: |
| Price |
| Options |
| Actions |
