0 item(s)
View cart
You have no items in your shopping cart.
| Full name | Histone H2A.X rabbit monoclonal antibody |
| Alternative names | 50 μl/100 μl |
| Reactivity | rabbit monoclonal |
| Applications | WB, IHC, IF |
| Host | Rabbit |
| Clone type | rabbit monoclonal |
| Target Background | Histones are basic nuclear proteins that are responsible for the nucleosome structure of the chromosomal fiber in eukaryotes. Two molecules of each of the four core histones (H2A, H2B, H3, and H4) form an octamer, around which approximately 146 bp of DNA is wrapped in repeating units, called nucleosomes. The linker histone, H1, interacts with linker DNA between nucleosomes and functions in the compaction of chromatin into higher order structures. This gene encodes a replication-independent histone that is a member of the histone H2A family, and generates two transcripts through the use of the conserved stem-loop termination motif, and the polyA addition motif. [provided by RefSeq, Oct 2015] |
| Swissprot No | P16104 |
| Gene Accession | 3014 |
| WB Predicted band size | 15 kDa |
| WB Positive control | |
| WB Recommended dilution | 500-2000 |
| IHC predicted cell location | Predicted cell location: Nucleus |
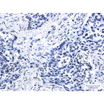
| IHC positive control | Positive control: Human lung cancer |
| IHC Recommed dilution | Recommended dilution: 50-100 |
-20°C, 50mM Tris-Glycine (pH 7.4), 0.15M NaCl, 40% Glycerol, 0.01% Sodium azide and 0.05% BSA. Avoid repeated freeze-thaw cycles.
P290631-WB-1-P
Immunohistochemical analysis of paraffin-embedded Human lung cancer tissue using P290631(Histone H2A
When can I expect my order to ship?
Most orders are filled and shipped within 2-3 business days from the time they are received.
Our standard shipping usually take 2-5 days.
We also provide express shippping for time-sensitive deliveries.
Email contact@biofargo.com if you have any requirements.
| Features |
| Availability: |
| Price |
| Options |
| Actions |
