You have no items in your shopping cart.
Description
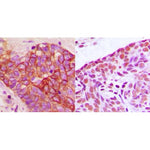
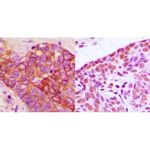
Abbexa's High Sensitive IHC Detection Kit is a rapid, easy to use, and versatile IHC detection system that utilizes polymer detection method technology for increased sensitivity in IHC. This new polymer technology has major advantages compared to conventional IHC systems. This kit amplifies the signal of both mouse and rabbit primary antibodies. Background noise due to non-specific binding to endogenous biotin molecules is prevented since this kit does not use a biotin/avidin based system, and so background noise due to non-specific binding to endogenous biotin is eliminated.
Kit components:
- Hydrogen Peroxide Blocking Reagent buffer: 5 ml
- Blocking Reagent: 5 ml
- HRP Polymer: 5 ml
- DAB Substrate Reagent: 5 ml
- DAB Chromogen Reagent: 100 µl
Specification
| Tested Applications | IHC |
| Storage | Shipped at 4 °C. Upon receipt, store the kit according to the storage instruction in the kit's manual. |
| Availability | Shipped within 7-12 working days. |
| Note | This product is for research use only. |
| Directions for use |
|
When can I expect my order to ship?
Most orders are filled and shipped within 2-3 business days from the time they are received.
Our standard shipping usually take 2-5 days.
We also provide express shippping for time-sensitive deliveries.
Email contact@biofargo.com if you have any requirements.

