0 item(s)
View cart
You have no items in your shopping cart.
| Full name | TMED4 rabbit polyclonal antibody |
| Alternative names | 50 μl/100 μl |
| Reactivity | rabbit polyclonal |
| Applications | WB, IHC |
| Host | Rabbit |
| Clone type | rabbit polyclonal |
| Target Background | Involved in vesicular protein trafficking, mainly in the early secretory pathway. targeting. Involved in the maintenance of the Golgi apparatus. Appears to play a role in the biosynthesis of secreted cargo including processing. Involved in endoplasmic reticulum stress response. May play a role in the regulation of heat-shock response and apoptosis (By similarity). |
| Swissprot No | Q7Z7H5 |
| Gene Accession | BC057851 |
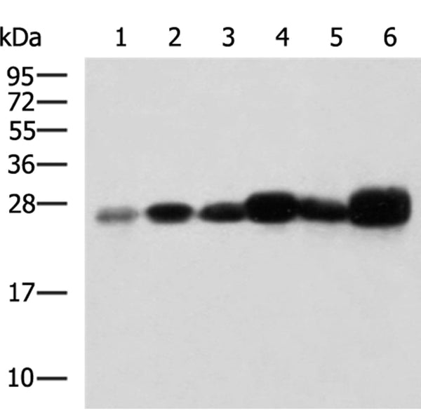
| WB Predicted band size | 26 kDa |
| WB Positive control | |
| WB Recommended dilution | 1000-5000 |
| IHC predicted cell location | Predicted cell location: Cytoplasm |
| IHC positive control | Positive control: Human liver cancer |
| IHC Recommed dilution | Recommended dilution: 200-400 |
-20°C, pH7.4 PBS, 0.05% NaN3, 40% Glycerol
P113513-WB-1-P
Immunohistochemical analysis of paraffin-embedded Human liver cancer tissue or TMED4 antigen-treated (Neutralization experiment) using P113513(TMED4 Antibody) at dilution 1/180
When can I expect my order to ship?
Most orders are filled and shipped within 2-3 business days from the time they are received.
Our standard shipping usually take 2-5 days.
We also provide express shippping for time-sensitive deliveries.
Email contact@biofargo.com if you have any requirements.
| Features |
| Availability: |
| Price |
| Options |
| Actions |
