0 item(s)
View cart
You have no items in your shopping cart.
| Full name | TAOK1/TAOK2/TAOK3 (phospho-Ser181/Ser181/Ser177) rabbit monoclonal antibody |
| Alternative names | 50 μl/100 μl |
| Reactivity | rabbit monoclonal |
| Applications | WB, IHC |
| Host | Rabbit |
| Clone type | rabbit monoclonal |
| Target Background | TAOK1 enables alpha-tubulin binding activity; beta-tubulin binding activity; and kinase activity. Involved in several processes, including mitotic G2 DNA damage checkpoint signaling; negative regulation of microtubule depolymerization; and positive regulation of JNK cascade. Located in microtubule cytoskeleton and perinuclear region of cytoplasm. TAOK2 enables mitogen-activated protein kinase kinase binding activity; neuropilin binding activity; and protein serine/threonine kinase activity. Involved in several processes, including focal adhesion assembly; intracellular signal transduction; and positive regulation of JNK cascade. Located in cytoplasmic vesicle; cytosol; and nuclear lumen. Part of receptor complex. The protein encoded by the TAOK3 gene is a serine/threonine protein kinase that activates the p38/MAPK14 stress-activated MAPK cascade but inhibits the basal activity of the MAPK8/JNK cascade. The encoded protein is a member of the GCK subfamily of STE20-like kinases. |
| Swissprot No | Q7L7X3/Q9UL54/Q9H2K8 |
| Gene Accession | 57551/9344/51347 |
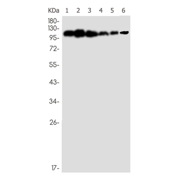
| WB Predicted band size | 116 kDa |
| WB Positive control | |
| WB Recommended dilution | 500-2000 |
| IHC predicted cell location | Predicted cell location: Cytoplasm |
| IHC positive control | Positive control: Human tonsil |
| IHC Recommed dilution | Recommended dilution: 50-100 |
-20°C, 50mM Tris-Glycine (pH 7.4), 0.15M NaCl, 40% Glycerol, 0.01% Sodium azide and 0.05% BSA. Avoid repeated freeze-thaw cycles.
P291517-WB-1-P
Immunohistochemical analysis of paraffin-embedded Human tonsil tissue using P291517(TAOK1/TAOK2/TAOK3 (phospho-Ser181/Ser181/Ser177) Antibody) at dilution 1/50
When can I expect my order to ship?
Most orders are filled and shipped within 2-3 business days from the time they are received.
Our standard shipping usually take 2-5 days.
We also provide express shippping for time-sensitive deliveries.
Email contact@biofargo.com if you have any requirements.
| Features |
| Availability: |
| Price |
| Options |
| Actions |
