0 item(s)
View cart
You have no items in your shopping cart.
| Full name | Stat5a rabbit monoclonal antibody |
| Alternative names | 50 μl/100 μl |
| Reactivity | rabbit monoclonal |
| Applications | WB, IF |
| Host | Rabbit |
| Clone type | rabbit monoclonal |
| Target Background | Enables DNA-binding transcription activator activity, RNA polymerase II-specific; RNA polymerase II cis-regulatory region sequence-specific DNA binding activity; and phosphate ion binding activity. Involved in growth hormone receptor signaling pathway via JAK-STAT and regulation of growth. Acts upstream of or within several processes, including animal organ development; positive regulation of leukocyte proliferation; and regulation of hemopoiesis. Located in cytoplasm and nucleus. Is expressed in several structures, including alimentary system; central nervous system; genitourinary system; hemolymphoid system; and liver and biliary system. Orthologous to human STAT5A (signal transducer and activator of transcription 5A). [provided by Alliance of Genome Resources, Apr 2022] |
| Swissprot No | P42230 |
| Gene Accession | 20850 |
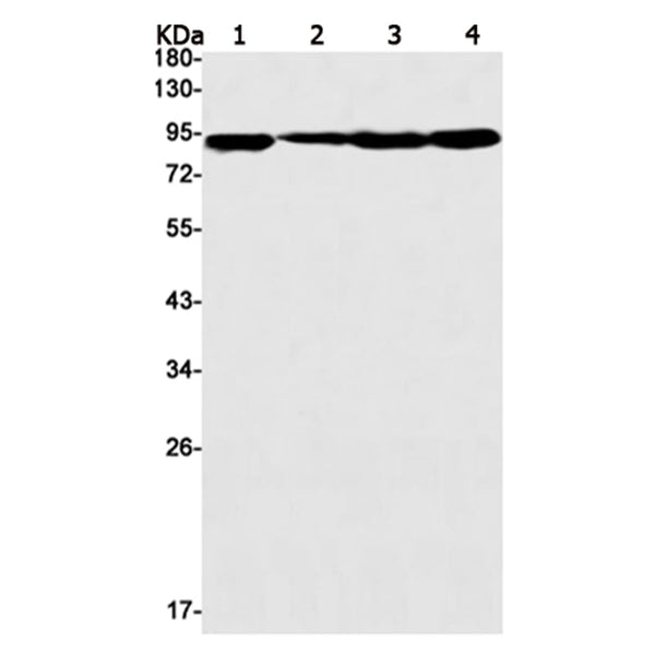
| WB Predicted band size | 91 kDa |
| WB Positive control | |
| WB Recommended dilution | 500-2000 |
| IHC predicted cell location | nan |
| IHC positive control | nan |
| IHC Recommed dilution | nan |
-20°C, 50mM Tris-Glycine (pH 7.4), 0.15M NaCl, 40% Glycerol, 0.01% Sodium azide and 0.05% BSA. Avoid repeated freeze-thaw cycles.
P291742-WB-1-P
When can I expect my order to ship?
Most orders are filled and shipped within 2-3 business days from the time they are received.
Our standard shipping usually take 2-5 days.
We also provide express shippping for time-sensitive deliveries.
Email contact@biofargo.com if you have any requirements.
| Features |
| Availability: |
| Price |
| Options |
| Actions |
