0 item(s)
View cart
You have no items in your shopping cart.
| Full name | SPDL1 rabbit polyclonal antibody |
| Alternative names | 50 μl/100 μl |
| Reactivity | rabbit polyclonal |
| Applications | WB, IHC |
| Host | Rabbit |
| Clone type | rabbit polyclonal |
| Target Background | This gene encodes a coiled-coil domain-containing protein that functions in mitotic spindle formation and chromosome segregation. The encoded protein plays a role in coordinating microtubule attachment by promoting recruitment of dynein proteins, and in mitotic checkpoint signaling. |
| Swissprot No | Q96EA4 |
| Gene Accession | BC012568 |
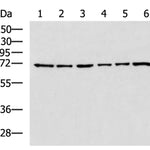
| WB Predicted band size | 70 kDa |
| WB Positive control | |
| WB Recommended dilution | 500-2000 |
| IHC predicted cell location | Predicted cell location: Nucleus |
| IHC positive control | Positive control: Human thyroid cancer |
| IHC Recommed dilution | Recommended dilution: 50-200 |
-20°C, pH7.4 PBS, 0.05% NaN3, 40% Glycerol
P100429-WB-1-P
Immunohistochemical analysis of paraffin-embedded Human thyroid cancer tissue or SPDL1 antigen-treated (Neutralization experiment) using P100429(SPDL1 Antibody) at dilution 1/100
When can I expect my order to ship?
Most orders are filled and shipped within 2-3 business days from the time they are received.
Our standard shipping usually take 2-5 days.
We also provide express shippping for time-sensitive deliveries.
Email contact@biofargo.com if you have any requirements.
| Features |
| Availability: |
| Price |
| Options |
| Actions |
