0 item(s)
View cart
You have no items in your shopping cart.
| Full name | RHAG rabbit polyclonal antibody |
| Alternative names | 50 μl/100 μl |
| Reactivity | rabbit polyclonal |
| Applications | WB, IHC |
| Host | Rabbit |
| Clone type | rabbit polyclonal |
| Target Background | The protein encoded by this gene is erythrocyte-specific and is thought to be part of a membrane channel that transports ammonium and carbon dioxide across the blood cell membrane. The encoded protein appears to interact with Rh blood group antigens and Rh30 polypeptides. Defects in this gene are a cause of regulator type Rh-null hemolytic anemia (RHN), or Rh-deficiency syndrome. |
| Swissprot No | Q02094 |
| Gene Accession | BC012605 |
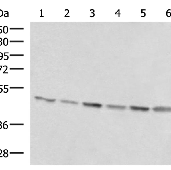
| WB Predicted band size | 44 kDa |
| WB Positive control | |
| WB Recommended dilution | 1000-5000 |
| IHC predicted cell location | Predicted cell location: Cell membrane |
| IHC positive control | Positive control: Human tonsil |
| IHC Recommed dilution | Recommended dilution: 50-300 |
-20°C, pH7.4 PBS, 0.05% NaN3, 40% Glycerol
P112891-WB-1-P
Immunohistochemical analysis of paraffin-embedded Human tonsil tissue or RHAG antigen-treated (Neutralization experiment) using P112891(RHAG Antibody) at dilution 1/130
When can I expect my order to ship?
Most orders are filled and shipped within 2-3 business days from the time they are received.
Our standard shipping usually take 2-5 days.
We also provide express shippping for time-sensitive deliveries.
Email contact@biofargo.com if you have any requirements.
| Features |
| Availability: |
| Price |
| Options |
| Actions |
