0 item(s)
View cart
You have no items in your shopping cart.
| Full name | NDUFA9 rabbit polyclonal antibody |
| Alternative names | 50 μl/100 μl |
| Reactivity | rabbit polyclonal |
| Applications | WB, IHC |
| Host | Rabbit |
| Clone type | rabbit polyclonal |
| Target Background | The encoded protein is a subunit of the hydrophobic protein fraction of the NADH:ubiquinone oxidoreductase (complex I), the first enzyme complex in the electron transport chain located in the inner mitochondrial membrane. A pseudogene has been identified on chromosome 12. [provided by RefSeq, May 2010] |
| Swissprot No | Q16795 |
| Gene Accession | BC009311 |
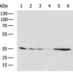
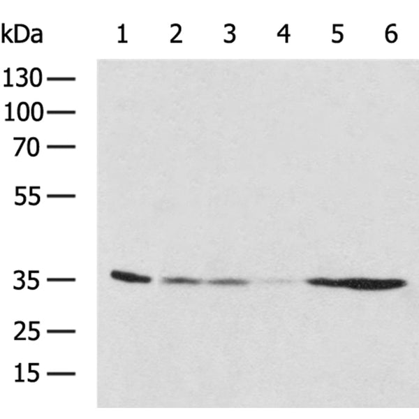
| WB Predicted band size | 43 kDa |
| WB Positive control | |
| WB Recommended dilution | 500-2000 |
| IHC predicted cell location | Predicted cell location: Cytoplasm |
| IHC positive control | Positive control: Human liver cancer |
| IHC Recommed dilution | Recommended dilution: 50-100 |
-20°C, pH7.4 PBS, 0.05% NaN3, 40% Glycerol
P101019-WB-1-P
Immunohistochemical analysis of paraffin-embedded Human liver cancer tissue or NDUFA9 antigen-treated (Neutralization experiment) using P101019(NDUFA9 Antibody) at dilution 1/70
When can I expect my order to ship?
Most orders are filled and shipped within 2-3 business days from the time they are received.
Our standard shipping usually take 2-5 days.
We also provide express shippping for time-sensitive deliveries.
Email contact@biofargo.com if you have any requirements.
| Features |
| Availability: |
| Price |
| Options |
| Actions |
