0 item(s)
View cart
You have no items in your shopping cart.
| Full name | ACTR1B rabbit monoclonal antibody |
| Alternative names | 50 μl/100 μl |
| Reactivity | rabbit monoclonal |
| Applications | WB, IHC, IF |
| Host | Rabbit |
| Clone type | rabbit monoclonal |
| Target Background | This gene encodes a 42.3 kD subunit of dynactin, a macromolecular complex consisting of 10 subunits ranging in size from 22 to 150 kD. Dynactin binds to both microtubules and cytoplasmic dynein and is involved in a diverse array of cellular functions, including ER-to-Golgi transport, the centripetal movement of lysosomes and endosomes, spindle formation, chromosome movement, nuclear positioning, and axonogenesis. This subunit, like ACTR1A, is an actin-related protein. These two proteins, which are of equal length and share 90% amino acid identity, are present in a constant ratio of approximately 1:15 in the dynactin complex. [provided by RefSeq, Aug 2008] |
| Swissprot No | P42025 |
| Gene Accession | 10120 |
| WB Predicted band size | 42 kDa |
| WB Positive control | |
| WB Recommended dilution | 500-2000 |
| IHC predicted cell location | Predicted cell location: Cytoplasm |
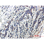
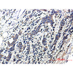
| IHC positive control | Positive control: Human breast cancer |
| IHC Recommed dilution | Recommended dilution: 50-100 |
-20°C, 50mM Tris-Glycine (pH 7.4), 0.15M NaCl, 40% Glycerol, 0.01% Sodium azide and 0.05% BSA. Avoid repeated freeze-thaw cycles.
P290030-WB-1-P
Immunohistochemical analysis of paraffin-embedded Human breast cancer tissue using P290030(ACTR1B Antibody) at dilution 1/50
When can I expect my order to ship?
Most orders are filled and shipped within 2-3 business days from the time they are received.
Our standard shipping usually take 2-5 days.
We also provide express shippping for time-sensitive deliveries.
Email contact@biofargo.com if you have any requirements.
| Features |
| Availability: |
| Price |
| Options |
| Actions |
