0 item(s)
View cart
You have no items in your shopping cart.
| Full name | H3-3B rabbit polyclonal antibody |
| Alternative names | 50 μl/100 μl |
| Reactivity | rabbit polyclonal |
| Applications | WB, IHC |
| Host | Rabbit |
| Clone type | rabbit polyclonal |
| Target Background | Histones are basic nuclear proteins that are responsible for the nucleosome structure of the chromosomal fiber in eukaryotes. Two molecules of each of the four core histones (H2A, H2B, H3, and H4) form an octamer, around which approximately 146 bp of DNA is wrapped in repeating units, called nucleosomes. The linker histone, H1, interacts with linker DNA between nucleosomes and functions in the compaction of chromatin into higher order structures. This gene contains introns and its mRNA is polyadenylated, unlike most histone genes. The protein encoded by this gene is a replication-independent histone that is a member of the histone H3 family. Pseudogenes of this gene have been identified on the X chromosome, and on chromosomes 5, 13 and 17. |
| Swissprot No | P84243 |
| Gene Accession | BC001124 |
| WB Predicted band size | 15 kDa |
| WB Positive control | |
| WB Recommended dilution | 1000-5000 |
| IHC predicted cell location | Predicted cell location: Nucleus |
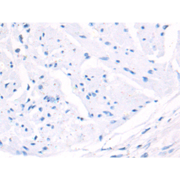
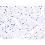
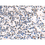
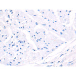
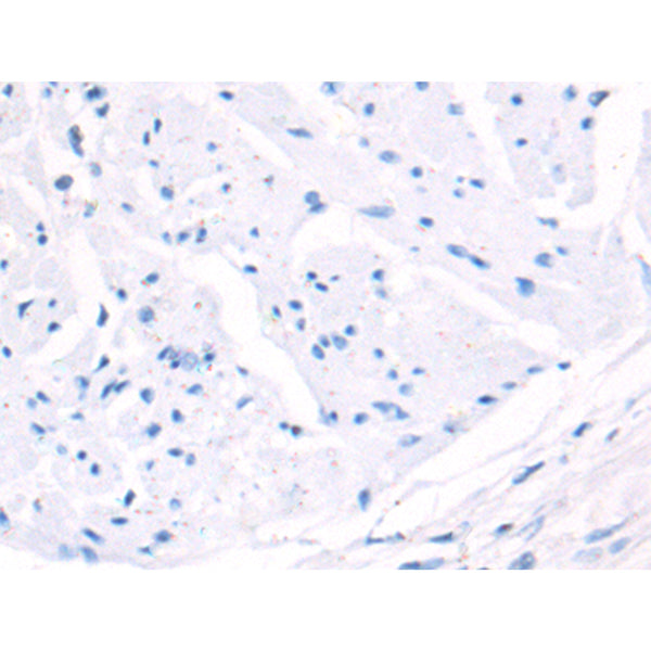
| IHC positive control | Positive control: Human prostate cancer |
| IHC Recommed dilution | Recommended dilution: 50-100 |
-20°C, pH7.4 PBS, 0.05% NaN3, 40% Glycerol
P112030-WB-1-P
Immunohistochemical analysis of paraffin-embedded Human prostate cancer tissue or H3-3B antigen-treated (Neutralization experiment) using P112030(H3-3B Antibody) at dilution 1/80
When can I expect my order to ship?
Most orders are filled and shipped within 2-3 business days from the time they are received.
Our standard shipping usually take 2-5 days.
We also provide express shippping for time-sensitive deliveries.
Email contact@biofargo.com if you have any requirements.
| Features |
| Availability: |
| Price |
| Options |
| Actions |
