Products

Filter
Sort by:
Show:
Antibodies (S-Z)Cell & Molecular Biology

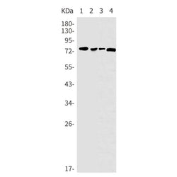
ZYX rabbit monoclonal antibody

Specification Full name ZYX rabbit monoclonal antibody Alternative names 50 μl/100 μl Reactivity rabbit monoclonal Applications WB, IHC, IF Host Rabbit Clone type rabbit monoclonal Target Background Focal adhesions are...
$219.00
Activity CollectionAntibodies (A-F)

β-Actin Antibody (Loading Control) (100µl) - Biofargo

Product Usage Information Application Dilution Western Blotting 1:1000 Simple Western™ 1:10 - 1:50     Specificity / Sensitivity β-Actin Antibody detects endogenous levels of β-actin. Due to the high sequence...
$149.00
All Chemicals (A-Z)Chemicals

β-Diphosphopyridine nucleotide, C21H27N7O14P2

  Description: β-Diphosphopyridine nucleotide consists of two nucleotides joined through their phosphate groups. One nucleotide contains an adenine nucleobase and the other one contains an nicotinamide. It is a coenzyme central to...
$255.00

β-Glycerophosphate Disodium Salt Hydrate

Description Glycerophosphoric acid disodium salt hydrate, also known as BGP, is a versatile compound with applications across various research domains, including cell biology, biochemical research, and metabolomics. Recognized as an...
$208.00
Show: