You have no items in your shopping cart.
Description
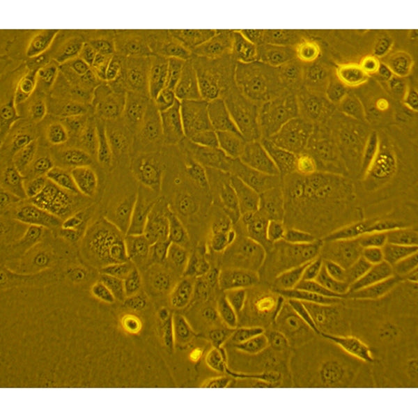
Human Primary Liver Epithelial Cells from Cell Biologics are isolated from human liver tissue and grown in gelatin pre-coated tissue culture flask with Cell Biologics’ Complete Growth Medium. Cells at passage 3 are harvested from flasks and cryo-preserved in vials. Each vial contains 0.5x106 cells per ml and is delivered frozen. Human Primary Liver Epithelial Cells from Cell Biologics are characterized by immunofluorescent staining with E-cadherin (Catalog No. 610182 from BD) or ZO-1 (Catalog No. 617300; from Life Technologies) antibody. These Cells are negative for mycoplasma, bacteria, yeast, fungi, HIV-1, hepatitis B and hepatitis C and can be expanded for 3-5 passages at a split ratio of 1:2 under the cell culture conditions specified by Cell Biologics. Repeated freezing and thawing of cells are not recommended.
Suggested Medium
H6621 Complete Epithelial Cell Medium w/ Kit – 500 ml
Storage
Cryopreserved cells are shipped with dry ice overnight. Upon arrival, transfer frozen cells to liquid nitrogen (-180°C) immediately until ready for use. Live cell shipment is also available on request. Primary cells can never be kept at -20 °C or -80 °C freezer.
Documents
Disclaimer
nvestigators should handle the cells received from Cell Biologics with caution and treat all primary cells as potential pathogens, since no test procedure can completely guarantee the absence of infectious agents.
Publication
When can I expect my order to ship?
Most orders are filled and shipped within 2-3 business days from the time they are received.
Our standard shipping usually take 2-5 days.
We also provide express shippping for time-sensitive deliveries.
Email contact@biofargo.com if you have any requirements.

