Activity Collection, Antibodies (S-Z)
STARD4 rabbit polyclonal antibody
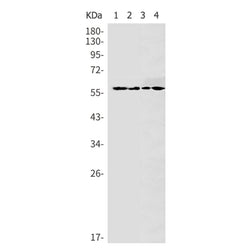
Specification Full name STARD4 rabbit polyclonal antibody Alternative names 50 μl/100 μl Reactivity rabbit polyclonal Applications WB, IHC Host Rabbit Clone type rabbit polyclonal Target Background Cholesterol homeostasis is regulated,...
$149.00